Մեդիցինսկիյ Վեստնիկ Էրեբունի 4.2011 (48)
Տրավատանի, տաֆլոտանի, առանց կոնսերվանտի տաֆլոտան առաջացրած մորֆոլոգիական փոփոխությունները ճագարների աչքերի առաջային հատվածներում
Բանալի բառեր:գլաուկոմա, կոնսերվանտ, մորֆոլոգիական փոփոխություններ
Օֆթալմոտոնուսի բարձրացումը հանդիսանում էգլաուկոմայի առաջացման հիմնական պաթոգենետիկ մեխանիզմը, որի ժամանակ առաջանում է բնորոշգլաուկոմատոզ օպտիկ նեյրոպաթիա [3]:
Ըստ С.Н. Федоров-ի [5] առաջային բացանկյունայինգլաուկոման դիտում են նաև որպես ցիլիար մարմնի իշեմիկ հիվանդություն, որը բերում է ներակնային հեղուկի (ՆԱՀ) սեկրեցիայի քչացմանը, որն էլ նպաստում է դիստրոֆիկ փոփոխությունների առաջացմանը աչքի դրենաժային համակարգում և բերում ՆԱՀ-ի հոսքի խանգարմանը և ներակնային ճնշման (ՆԱՃ) բարձրացմանը: Հետևաբար հիմնական բուժման մեթոդները ուղղված են ՆԱՃ իջեց-մանը: Բացանկյունգլաուկոմայի բուժման մեջ մեծ հետաքրքրություն է առաջացնում պրոստա-գլանդինների անալոգների օգտագործումը, որոնք իջեցնում են ՆԱՃ-ը` ուվեոսկլերալ հոսքի ակտիվացման հետևանքով: Տրավոպրոստը, տաֆլուպրոստը պատկանում են սինթետիկ պրոստագլանդինների F2 խմբին, որոնց ազդեցության մեխանիզմը մետալո¬պրո¬տեազի սինթեզի ակտիվացումն է, որն իր հերթին բերում է ցիլիար մկանի ներբջջային մատրիքսի կոլագենի քչացմանը, մեծացնելով ՆԱՀ-ի ուվեոսկլերալ հոսքը: Սրանք հանդիսանում են պրոստագլան-դինային FP ռեցեպտորների բարձր ընտրողական ագոնիստներ: Տրավոպրոստը չունի ազդեսություն EP1 և EP2 ռեցեպտորների վրա: Տաֆլուպրոստը հանդիսանում է պրոստագլանդինների առաջին անալոգը, որը չի պարունակում կոնսերվանտ` բենզալկոն քլորիդ: Բենզալկոն քլորիդը ապակայունացնում է արցունքային թաղանթը, վնասում է լիպիդային շերտը, ունի նաև տոքսիկ ազդեցություն եղջրաթաղանթի և տրաբեկուլայի բջիջների վրա [7]: Տաֆլուպրոստը` շնորհիվ իր ֆտոր ածանցյալի, ունի 12 անգամ ավելի բարձր ընտրողականություն FP պրոստագլանդինային ռեցեպտորների հանդեպ ի տարբերություն այլ պրոստագլանդին¬ների անալոգների [6]:
Նպատակն էր համեմատել in vivo, կոնսերվանտ պարունակող և առանց կոնսերվանտի պրոստագլանդինների(տրավատան, տաֆլոտան, տաֆլոտան առանց կոնսերվանտի), առաջացրած ձևաբանական փոփոխությունները ճագարների աչքերի առաջային հատվածների հյուսվածքներում:
Նյութը և մեթոդները
Կատարվել է լաբորատոր հետազոտություն թվով 30 ճագարների վրա: Ճագարները պատկանում են Շերշելլա ցեղախմբին: Ճագարները բաժանված են 3 խմբի, յուրաքանչյուրում 10 ճագար, 4 ամսեկան և 2կգ մարմնի զանգվածով: Ճագարների ձախ աչքին կաթեցվել են փորձնական դեղերը, ամեն օր ժամը 20.00-ին, 50 մկլ քանակությամբ, 1 ամիս տևողությամբ, իսկ յուրաքանչյուրի համապատասխանաբար աջ աջքը վերցվել է որպես ստուգիչ: Այսպիսով առկա է 4 խումբ` 3 փորձարարական և 1 ստուգիչ: Օգտագործվել է հետևյալ կերպ`
I խումբ` տրավատան ALCON ֆիրմայի
II խումբ` տաֆլոտան SANTEN ֆիրմայի
III խումբ` տաֆլոտան առանց կոնսերվանտի SANTEN ֆիրմայի
IV խումբ` ստուգիչ
Մորֆոլոգիկ հետազոտության համար կատարվել է ճագարների աչքերի էնուկլեացիա, որոնք պահվել են 12% նեյտրալ ֆորմալինում: Պրեպարատնրը ներկվել են հեմատոքսիլին-էոզինով, որն օգնում է ընդհանուր պատկերացում ունենալ հետազոտվող հյուսվածքների մասին: Հիստոգրամի բնութագրի բացատրությունը անցկացվեց E-PL-10 օկուլյարով և A-Plan 10/0,25 և A-Plan 20/0,25 օբյեկտիվով մանրադիտակի մեծացմամբ (Axiostar plus ):
Արդյունքները և քննարկումը
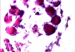
Ինչպես ցույց է տվել հետազոտությունը,1-ին խումբ աչքերում դիտվել են հետևյալ փոփոխությունները `90%-ի մոտ ծիածանաթաղանթը մուգ-շագանակագույն է (նկ. 1):

Նկ. 1 Ծիածանաթաղանթիգույնի մգեցումը
I-ին խումբ աչքերում
Հեմատոքսիլին-էոզին, Х 200
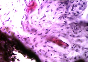
Եղջրենու էպիթելում տեղ-տեղ առկա է պրոլիֆերացիա և փոքր էրոզիաներ: Եղջրենու ստրոմայում նկատվում է այտուց, Շլեմյան խողողվակը լայնացած է (նկ. 2):

Նկ. 2. Շլեմյան խողովակի լայնացում
I խումբ աչքերում: Հեմատոքսիլին-էոզին, Х 200
Ցիլիար վենուլները լայնացած են, ցիլիար մկանը ֆրագմենտավորված, նկատվում է միջթելիկային այտուց (նկ. 3):

Նկ. 3 Ցիլիար վենուլների լայնացում, ցիլիար մկանի ֆրագմենտացիա և միջթելային այտուց I խումբ աչքերում, հեմոտոքսիլին-էոզին, Х 200
2-րդ խումբ աչքերի փոփոխությունները համարյա նման են 1-ին խմբին,չնայած ծիածանաթաղանթիգույնի փոփոխությունը համեմատաբար ավելի քիչ է:Նույնպես առկա է ցիլիար երակների և Շլեմյան խողովակի լայնացում:

Նկ. 4 Ցիլիար վենուլների լայնացում
II խումբ աչքերում: Ներկված է հեմատոքսիլին-էոզինով, Х 200
3-րդ խմբի մոտ նույնպես նկատվում էր ծիածանաթաղանթի այտուց` արյունալեցված ու լայնացած անոթներով: Ակնագնդի թաղանթների միջև նույնպես առկա է այտուց և շարակցահյուսվածքային շերտի թելիկների տարանջատում (նկ. 5):

Նկ. 5 Ծիածանաթաղանթի արյունալեցված անոթներ և այտուցված հյուսվածք, այտուց և մկանաթելերի ֆրագմենտացիա միջթաղանթային տարածությունում: Ներկված է հեմոտոքսիլին-էոզինով, Х 200
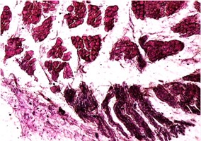
3-րդ խմբում փոփոխությունները համարյա նույնն են, սակայն ծիածանաթաղանթիգույնի փոփոխությունն այդքան արտահայտված չէ` համեմատ նախորդ երկուսի, չկան եղջրենու էպիթելային թաղանթի խոցեր կամ էրոզիաներ (նկ. 6):

Նկ. 6 Եղջրենու էպիթելային թաղանթի պահպանված վիճակը III խումբ աչքերում
Ներկված է հեմոտոքսիլին-էոզինով, Х 200
Սակայն այս խմբի ճագարների մոտ նույնպես դիտվում էր ցիլիար երակների և Շլեմյան կանալի լայնացում:
Աղյուսակ
|
Դեղերի անվ. |
Աչքերի թիվը |
Հիպերեմիա |
Հետերոքրոմիա |
Եղջրենու էրոզիա և պրոլիֆերացիա |
Շլեյման կանալի լայնացում |
Ցիլիար վենուլների լայնացում |
ցիլիար մկանի ֆրագմենտացիա և միջթելային այտուց |
|
Travatan |
10 |
արտ. |
9 |
8 |
9 |
9 |
7 |
|
Taflotan |
10 |
արտ. |
8 |
8 |
9 |
9 |
7 |
|
Taflotan առանց կոնսերվանտ-ների |
10 |
թույլ արտ. |
8 |
- |
9 |
9 |
6 |
Հետազոտությունները ցույց տվեցին, որ տրավատանը և տաֆլոտանը առաջացնում են առաջային ցիլիար երակների և Շլեմյան խողովակի լայնացում, դիտվում է միջհյուսվածքային այտուց: Բացի այդ, տրավատանը ավելի հաճախ տաֆլոտանից փոխում է ծիածանաթաղանթիգույնը: Դրա հետ մեկտեղ այս երկու դեղերի օգտագործման դեպքում նկատվում է եղջրենու էրոզիաների և խոցերի զարգացում: Ի տարբերություն այս երկուսի առանց կոնսերվանտի տաֆլոտանը չի առաջացնում եղջրենու էպիթելի դեֆեկտ:
Գրականություն
-
Еричев В.П., Якубова Л.В. Травопрост-новый аналог простагландина для лечения больных глаукомой. Журн. Глаукома. 2004, N2, с.77- 81.
-
Фокин В.П., Балалин С.В. Анализ эффектив¬нос¬ти применения траватана в лечении пер¬вич¬ной открытоугольной глаукомы. Журн. Глаукома. 2006, N2, с.37 – 41.
-
Егоров Е.А., Егорова Т.Е., Оганезова Ж.Г. Российский клинический опыт по изучению эффективности и безопасности 0,004% раст¬во¬ра травопроста (Траватан) в лечении откры¬то¬-угольной глаукомы. 2006.
-
Christophe Baudouin Detrimental Effect of Preservatives in Eye Drops: Implications for the Treatment of Glaucoma. Acta Ophthalmol 2008; 86: 716-726.
-
Федоров С.Н., Ивашина А.И., Михайлова Г.Д. Вопросы патогенезаи лечения глаукомы,-М., 1981, С. 59-63.
-
Takagi Y., et al. Тафлотан® (Тафлупрост 0,0015%) Фармакологический и клинический профиль. Exp. Eye. Res. 2004; 78; 767-77
-
Hommer A. A review of preserved and preservative-free prostaglandin analogues for the treatment of open-angle glaucoma and ocular hypertension. Drugs Today, 2010; 46: 409-416.
18.01.2012 Կարդացեք նաև
Բանալի բառեր: ստոմատոլոգիա, ատամնային իմպլանտացիա
Ատամնային իմպլանտացիայում կարևոր տեղ է ընձեռվում իմպլանտատների առաջնային կայունության ապահովման ժամանակ իմպլանտատ-ոսկոր լարվածադեֆորմացիոն վիճակի սահմանափակմանը` հետագա ոսկրագոյացման ապահովման համար...
27.01.2012 Բանալի բառեր. լյարդի վնասում, ներորովայնային արյան կորուստ, բարդություններ
Պոլիտրավման առաջնահերթ բժշկական խնդիրներից մեկն է, քանի որ այն հանդիսանում է մինչև 45տ մարդկանց մահացության թիվ 1 պատճառը [7]: Պոլիտրավմայի ժամանակ որովայնի խոռոչի օրգանները վնասվում են 19.6-36.5% դեպքերում [3]...
26.01.2012
Բանալի բառեր. քրոնիկ հուզական սթրես, սթրեսի ռիսկային գործոններ, սթրեսի գեր-բեռնվածության ախտանիշներ, սթրեսակայունության մակարդակ, սթրեսի վերահսկում, Ժաննա Սեգալի հարցաշար...
25.01.2012 Բանալի բառեր. նորածին, հոգեշարժական զարգացում, կենտրոնական նյարդային համա-կարգի պերինատալ հիպօքսիկ ախտահարում, նեյրոսպեցիֆիկ էնոլազա...
24.01.2012 Բանալի բառեր. թոքային երակների վիրաբուժական մեկուսացում, շողացող առիթմիա
Ներկայումս շողացող առիթմիան (ՇԱ) իրենից բավականին լուրջ առողջապահական խնդիր է ներակայցնում: Առանձնահատուկ տեղ է գրավում միտրալ փականի հիվանդությամբ զու-գորդված ՇԱ...
23.01.2012 Բանալի բառեր: սուր դակրիոցիստիտ, արցունքապարկի աբսցես, ֆլեգմոնա, դակրիոցիստո-ռինոստոմիա
Սուր դակրիոցիստիտը հանդիսանում է արցունքապարկի սուր բորբոքում, որը զարգանում է արցունքաքթային խողովակի բլոկադայի հետևանքով...
20.01.2012 Բանալի բառեր: տրավմատիկ դակրիոցիստիտ, մոդիֆիկացված դակրիոցիստոռինոստոմիա, սիլիկոնային ինտուբացիա
Տրավմատիկ դակրիոցիստիտը հանդիսանում է խիստ ծանր պաթոլոգիա և զարգանում է արցունքաքթային խողովակի տրավմատիկ օբստրուկցիայի հետևանքով...
19.01.2012 Բանալի բառեր. Վերարտադրողական առողջության պահպանում, ռիսկային վարքաջիծ
Սոցիալ-տնտեսական և քաղաքական փոփոխություններին դեռահասների սոցիալական և հոգեբանական դեզադապտացիան, գենդեռային իմացության բացակայությունը պատճառ են դառնում վաղ սեռական հարաբերությունների...
17.01.2012
ԱՄԵՆԱԸՆԹԵՐՑՎԱԾ ՀՈԴՎԱԾՆԵՐԸ
-
Ժողովրդական դեղամիջոցներ
-
Հղիություն. 4-րդ ամիս
-
Հղիություն. 7-րդ ամիս
-
Կոճապղպեղ նույնն է՝ իմբիր, Ginger եւ Zingiber Officinale
-
«Արագիլ» հիմնադրամը ստեղծված է՝ օգնելու անպտղությամբ տառապող զույգերին. Կարինե Թոխունց
-
Հղիություն. 6-րդ ամիս
-
Հղիություն. 2-րդ ամիս
-
Ամուսնական առաջին գիշերը
- 4-7 ամսական երեխաների սնուցումը
-
Ընկերության մասին
-
Խնձորը` պզուկների դեմ. ազատվիր նրանցից 1 գիշերվա ընթացքում
-
Ինչպես ազատվել անցանկալի մազերից
-
Պարզվում է ապագա երեխայի սեռը կախված է մայրիկի սնունդից
-
Դդում
-
Հիվանդություն, որը փոխում է մեր կյանքը` կրծագեղձի քաղցկեղ
-
Կոճապղպեղ՝ նիհարելու համար (կոճապղպեղի թեյ)
-
Սեռական գրգռում
-
Արգանդի միոմա. նախանշանները, պատճառներն ու բուժումը
-
Հղիություն. 1-ին ամիս
-
Երիցուկ դեղատնային - Ромашка аптечная - Matricaria chamomilla L.
-
Չիչխանի օգտակար հատկությունները
-
Քարավուզ (նույն ինքը՝ նեխուր)
-
Ինչպես ազատվել բերանի վատ հոտից`պարզ միջոց
-
Դիմակներ` մազերի համար
-
Կրծքի ցավե՞ր ունեք. ինչ անել
-
Հեշտոցային արտադրության պատճառները. մասնագետի անդրադարձը
-
Ընդհանուր տեղեկություններ մարմնի համակարգերի մասին
- Բերանի խոռոչի լորձաթաղանթի ախտահարումը սովորական բշտախտի ժամանակ (սկիզբը` նախորդ համարում)
-
Հիվանդություն, որի համար պետք չէ ամաչել (թութք)
-
Ընտրություն ըստ հորոսկոպի
- Խոսենք այդ մասին. ձեռնաշարժություն
-
Հղիությունը և նախապատրաստվելը դրան
-
Երբ գլխացավն ախտանիշ է: Հանճարեղ և օժտված մարդկանց հիվանդություն
-
Լեղաքարային հիվանդություն. բուժման մեթոդները
-
Սեռական թուլության առաջին նախանշանները. news.am
-
Ուլտրաձայնային դոպլերոգրաֆիա (երկակի (դուպլեքս) անոթների)
-
Էկզեմայի տեսակները և բուժումը
-
Իրիդիոսքրինինգ
-
ՈւՆԱԲԻ: Արևելյան բժշկության գաղտնիքները
-
Գամմա-դանակը նշտարի փոխարեն















Գիտական բժշկություն
Հիվանդություններ
Ավանդական բժշկություն
Առողջ ապրելակերպ
Կոսմետոլոգիա
Բժշկական իրավունք
Ալգորիթմեր, թեստեր
Թվեր, փաստեր, դեպքեր
Պատմական խրոնիկա
Աֆորիզմներ
Կարիերային սանդուղքով
Երեխա
Կին
Տղամարդ
Ռեյթինգային համակարգ