Հայաստանի բժշկագիտություն 4.2011
Պարբերական հիվանդությամբ պայմանավորված օրգանային ախտահարումների կլինիկաձևաբանական բնութագիրը
Բանալի բառեր` պարբերական հիվանդություն, բազմաօրգանային ամիլոիդոզ, կլինիկաձևաբանական բնութագիր
Պարբերական հիվանդությունը (ՊՀ) կամ Ընտանեկան Միջերկրածովյան տենդը (ԸՄՏ) խրոնիկական հիվանդություն է, որն ընթանում է պարբերական տենդի նոպաներով` ուղեկցված շճաթաղանթների բորբոքումով, և հաճախ բարդանում է ամիլոիդոզով [1-4, 6, 9, 11]: Հիվանդությունը հանգեցնում է հաշմանդամության և անաշխատունակության բավականին երիտասարդ տարիքում, հետևաբար, այն նաև կարևոր սոցիալական խնդիր է և շարունակում է մնալ որպես հայկական բժշկագիտության արդիական հիմնահարցերից մեկը:
ՊՀ պայմանավորված օրգանային ախտաբանական փոփոխությունների հայտնաբերումը հնարավոր է բիոպսիոն նյութի հետազոտության միջոցով: Բիոպսիոն նյութի վերցման ժամանակակից մեթոդները հնարավորություն են ընձեռում ուսումնասիրելու գրեթե բոլոր օրգաններն ու հյուսվածքները: Սակայն կարևոր է հաշվի առնել օրգանի ախտահարման աստիճանը, բիոպտատի ստացման մատչելիությունը, միջամտության քիչ վնասելիությունը և հնարավոր բարդությունները: Ներկայումս արդիական է ՊՀ պայմանավորված ամիլոիդոզի վաղ ախտորոշումը, քանի որ հնարավորինս վաղ սկսված բուժման դեպքում կասեցվում է ամիլոիդային դեպոզիտների գոյացումը և հետագա կուտակումը` նույնիսկ նպաստելով դրանց ռեգրե-սիային [5]:
Ախտաբանական պրոցեսում օրգանների ընդգրկման աստիճանը և հիվանդության կլինիկական դրսևորումները երբեմն տարաբնույթ են, հետևաբար կա անհրաժեշտություն դրանք ուսումնասիրելու համեմատական կարգով:
Նյութը և մեթոդները
Աշխատանքում իրականացված է ՊՀ օրգանային ախտահարումների կլինիկաձևաբանական առանձնահատկությունների բազմակողմանի ուսումնասիրություն` պունկցիոն-բիոպսիոն, վիրահատական, դիահերձման նյութի վերլուծության հիման վրա, հիվանդության կլինիկական առանձնահատկություններին և դրսևորումներին զուգահեռ` տանատոգենեզում դոմինանտող ամիլոիդային ախտահա-րումների բացահայտման և գնահատման համար:
Այդ նպատակով կատարված կլինիկաձևաբանական վերլուծության համար հետազոտվել են ՊՀ որովայնային, կրծքային, խառը ձևերով տառապող 185 հիվանդ և հիվանդության բարդություններից մահացածների 54 դիակ: Ուսումնասիրվել է ՊՀ տառապող հիվանդների վիրահատական-բիոպսիոն նյութը (վահանագեղձ), պունկցիոն բիոպսիոն նյութը (երիկամ), ստամոքսի, տասներկումատնյա, սիգմայաձև, ուղիղ աղիների բիոպտատները:
Ուսումնասիրման նյութը բաշխվել է ըստ հիվանդության կլինիկական ախտորոշման և շրջանների, հիվանդի տարիքի, հիվանդության մանիֆեստացիայի տարիքի:
ՊՀ տառապող 146 հիվանդների մոտ կլինիկորեն ախտորոշված է եղել ՊՀ խառը, 30 դեպքերում` որովայնային, 9 դեպքում` կրծքային ձևը: Հիվանդության մանիֆեստացիայի տարիքը 58 դեպքերում եղել է մինչև 5 տարեկան, 79 դեպքերում` 5-ից մինչև 20 և 48 դեպքերում 20 տարեկան և ավելի:
Աուտոպսիոն նյութում 38 դեպքերում կլինիկորեն ախտորոշված է եղել ՊՀ խառը, 13 դեպքերում` որովայնային, 3 դեպքում` կրծքային ձևը: Հիվանդության մանիֆեստացիայի տարիքը 20 դեպքերում եղել է մինչև 5 տարեկան, 26 դեպքերում` մինչև 20 և 8 դեպքերում 20 տարեկան և ավելի: Աուտոպսիոն դեպքերից ոչ մեկում կատարված չի եղել երիկամի փոխպատվաստում:
Ախտահյուսվածաբանական ուսումնասիրության համար տարբեր օրգաններից վերցված հյուսվածքային կտորները ֆիքսվել են ֆորմալինի լուծույթում, ենթարկվել պարաֆինային ներծծման, այնուհետև պատրաստվել հյուսվածաբանական պատրաստուկներ, որոնք ներկվել են հեմատոքսիլին-էոզինով, կոնգո կարմիրով, մեթիլ վիոլետով, թիոֆլավինով (Sigma Aldrich, Գերմանիա):
Արդյունքները և դրանց քննարկումը
Ըստ ուսումնասիրության արդյունքների, 54 դեպքում (29,2%) կլինիկորեն դրսևորվել է ՊՀ պայմանավորված նեֆրոպաթիկ ամիլոիդոզ:
Աղյուսակ 1
ՊՀ պայմանավորված նեֆրոպաթիկ ամիլոիդոզի առկայությունը և շրջանը
|
Մինչկլինիկական |
Չի ախտորոշվել |
|
Սպիտամիզային |
16 |
|
Նեֆրոտիկ |
21 |
|
ԽԵԱ |
17 |
|
Ընդամենը |
54 |
Այդ թվում` 16 հիվանդ գտնվել է սպիտամիզային (8,6%), 21-ը` նեֆրոտիկ շրջաններում (11,3%), 17 դեպքում (9,2%) դիտվել է խրոնիկական երիկամային անբավարարություն, որոնցից 6-ում կատարվել է հեմոդիալիզ:
3 դեպքում վահանագեղձի ամիլոիդային խպիպի կապակցությամբ կատարված է վիրահատական միջամտություն` գեղձի ամբողջական հեռացումով: 2 դեպքում մակերիկամների ամիլոիդային ախ-տահարումը և զարգացած մակերիկամային անբավարարությունը հիվանդի մահվան պատճառ են դարձել:
ՊՀ բարդություններից մահացածների դիահերձման տվյալները վկայել են, որ ուսումնասիրված դեպքերից 52-ում (96,3%) ձևաբանորեն հաստատվել է բազմաօրգանային ամիլոիդոզ: Հաճախ համակարգային ամիլոիդոզը ներքին օրգաններում բնորոշվել է ամիլոիդի առավել արտահայտված կուտակումներով երիկամներում, փայծաղում, էնդոկրին գեղձերում, աղիներում, ավելի նվազ` լյարդում, ստամոքսում, սրտում և թոքերում: Երկու դեպքում թեպետ կլինիկորեն (իսկ մեկում` նաև գենետիկորեն) հաստատված է եղել ՊՀ, սակայն ուսումնասիրված օրգաններից ոչ մեկում ձևաբանորեն չեն հայտնաբերվել ամիլոիդային դեպոզիտներ: Նշվում է, որ նրանք ստացել են կոլխիցինի օրական չափաբաժինը կանոնավոր կերպով: Հիվանդության վաղեմությունը եղել է մի դեպքում 10, մյուսում` 15 տարի:
Ստամոքսի, տասներկումատնյա աղու, հաստ աղու բիոպտատների և սեկցիոն նյութի ուսումնասիրությունը և համեմատական վերլուծությունը պարզեց, որ ամիլոիդոզն առավել արտահայտված է հատկապես բարակ աղիների լորձաթաղանթի և ենթալորձային շերտի մանր անոթներում` մասնավորապես զարկերակիկներում, գեղձերի հիմային թաղանթներում (նկ. 1): Ամիլոիդային կուտակումներն այստեղ հաճախ նուրբ դեպոզիտների, իսկ երբեմն էլ առատ կուտակումների ձևով են հայտնաբերվել` տեղակայվելով նաև անոթների ադվենտիցիայում և շուրջադվենտիցիալ հյուսվածքում: Վերջինս վկայում է ՊՀ պայմանավորված ամիլոիդոզի ոչ միայն պերիռետիկուլյար, այլև պերիկոլագենային բնույթի մասին:
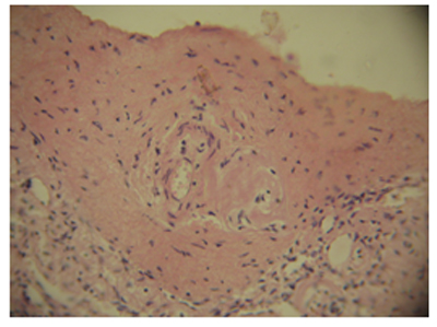
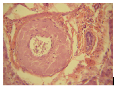
ՊՀ պայմանավորված լյարդի ախտահարումը դրսևորվել է ամիլոիդի առկայությամբ լյարդի դրունքային ուղիներում` անոթների, հատկապես զարկերակների և զարկերակիկների պատերում (նկ. 2): Ներբլթակային հենքում ամիլոիդոզն արտահայտված չէր:
![]() |
![]() |
| Նկ.1. Ամիլոիդային դեպոզիտներ բարակ աղիների ենթալորձային շերտի անոթների պատերում, կոնգո կարմիր, x400 |
Նկ. 2. Ամիլոիդային կուտակումներ լյարդի դրունքային զարկերակի պատում,հեմատոքսիլին- էոզին, x400 |
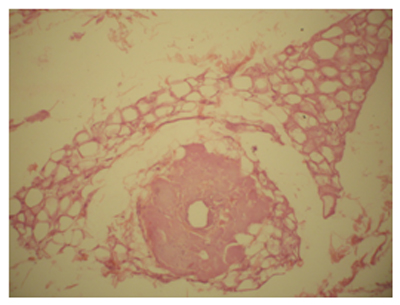
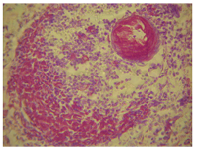
Ուսումնասիրված դեպքերից 52-ում հայտնաբերվել է փայծաղի տարբեր աստիճանի արտահայտված ամիլոիդոզ: 16 դեպքում (30,7%) սագոյի փայծաղի պատկեր է դիտվել` ավշային ֆոլիկուլներում ամի-լոիդի նուրբ դեպոզիտներով կամ ավելի ընդարձակ կուտակումներով, ընդհուպ ֆոլիկուլի ամբողջական զբաղեցումը ամիլոիդով (նկ. 3): 28 դեպքում (53,8%) դիտվել է ճարպային փայծաղի պատկեր` ամիլոիդի առատ կուտակումներով ինչպես ֆոլիկուլներում, այնպես էլ արտաֆոլիկուլային դիֆուզ ավշային հյուսվածքում, անոթների պատերում: Հայտնաբերվել է փայծաղի պատիճի լավ արտահայտված սկլերոզ և հիալինոզ, իսկ որոշ դեպքերում այն ուղեկցվել է ամիլոիդային զանգվածների կուտակումներով պատիճում (նկ. 4), իսկ 8 դեպքում (15,4%) փոփոխությունները փայծաղում միջանկյալ բնույթ են կրել:
Թեև փայծաղում ՊՀ պայմանավորված ամիլոիդային ախտահարումներն ակնհայտ են, սակայն ախտորոշիչ նպատակով փայծաղի պունկցիոն բիոպսիան առանձնապես կիրառելի չէ` արյունահոսության վտանգից ելնելով:
ՊՀ պայմանավորված էնդոկրին գեղձերի ամիլոիդային ախտահարումը 3 դեպքերում կլինիկորեն արտահայտվել է բազմագեղձային ներզատիչ անբավարարությամբ: Այն ընդգրկել է տարբեր ներզատիչ գեղձեր` մակերիկամներ, պանկրեաս, վահանագեղձ, հարվահանագեղձեր, ամորձիներ: Ամիլոիդային զանգվածներն առավել արտահայտված են եղել մակերիկամներում և վահանագեղձում: Մակերիկամների պատիճային զարկերակիկներում, պատիճի տակ, հարակից ճարպաբջջանքում հայտնաբերվել են ամիլոիդի ընդարձակ զանգվածներ: Առավելաչափ արտահայտված են եղել ամիլոիդի կուտակումները կեղևային նյութում` ուղեկցված կծիկային, խրձային, ցանցային գոտիների բջիջների ապաճմամբ: Որոշ տեղամասերում խրձային և ցանցային գոտիներն ամբողջապես փոխարինված են ամիլոիդով: Ավելի քիչ է տուժել միջուկային շերտը, որտեղ ամիլոիդոզը հաճախ կրել է օջախային բնույթ:
Ըստ գրականության տվյալների, ՊՀ դեպքում դիտվում է մակերիկամների գլյուկոկորտիկոիդային ֆունկցիայի ընկճում, իսկ միներալոկորտիկոիդային ֆունկցիայի նշանակալի լաբիլություն [4]:
Մեր կողմից ուսումնասիրված աուտոպսիոն նյութում մակերի-կամների ամիլոիդային ախտահարումներ են դիտվել 40 դեպքում (76,9%):
Ենթաստամոքսային գեղձի պարենքիմայում միկրոսկոպիորեն հայտնաբերվել են դիստրոֆիկ, նեկրոտիկ, ատրոֆիկ փոփոխություն-ներ` ուղեկցված բորբոքային ռեակցիայով: Որոշ դեպքերում հայտնաբերվել է խիստ արտահայտված ամիլոիդոզ զարկերակների, զարկերակիկների և երակների պատերում: Հաճախ զարկերակների պատերը խիստ հաստացած են ադվենտիցիայում և շուրջադվենտիցիալ հյուսվածքում ամիլոիդի առատ կուտակումների հաշվին: Ամիլոիդային կուտակումները զբաղեցրել են գեղձի հենքը` երբեմն բավականին զգալի տեղամասերի ձևով, ընդգրկելով նաև գեղձի պատիճը: Ամիլոիդով ախտահարված ենթաստամոքսային գեղձում, դեպքերի մեծամասնությունում բորբոքային ներսփռանքներն արտահայտված են եղել և ներբլթակային, և միջբլթակային հենքում: Ներսփռանքները ներկայացված են եղել հիմնականում լիմֆոհիստիոցիտներով, պլազմոցիտներով, մակրոֆագերով:
Ըստ կլինիկական և գործիքային քննության տվյալների երկու հիվանդի մոտ (1%) հայտնաբերվել է վահանագեղձի չափերի մեծացում և ախտորոշվել մի դեպքում դիֆուզ, մյուսում` դիֆուզ-հանգուցավոր խպիպ: Պունկցիոն-բիոպսիոն հետազոտության արդյունքում հաստատվել է ՊՀ պայմանավորված ամիլոիդային խպիպ ախտորոշումը: Տվյալ հիվանդների մոտ բացակայում էր երիկամների ամիլոիդոզը:
Աուտոպսիոն նյութում ամիլոիդային խպիպ` ուղեկցված գեղձի չափերի մեծացումով դիտվել է 2 դեպքում (3,8%):
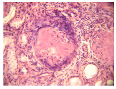
Վիրահատական բիոպսիոն և աուտոպսիոն նյութի ուսումնասիրությամբ վահանագեղձում հայտնաբերվել է հենքի զգալի ամիլոիդոզ` ուղեկցված ֆոլիկուլների ապաճումով: Դրանց հարակից հայտնաբերվել են կիստոզ լայնացած ֆոլիկուլներ (նկ. 5): Ամիլոիդոզն արտահայտված է եղել հատկապես մանր անոթների պատերում: Որոշ տեղամասերում ամիլոիդային կուտակումներին կից հայտնաբերվել են արտահայտված լիմֆոցիտար, պլազմատիկ բջջային ներսփռանքներ` ուղեկցված հսկաբջջային ռեակցիայով:
Գրականության մեջ քիչ են տվյալներն այն մասին, որ ՊՀ պայմանավորված վահանագեղձի ամիլոիդային ախտահարումն ուղեկցվել է գեղձի զգալի մեծացումով և հորմոն արտադրող ֆունկցիայի խանգարումով: Ըստ գրականության տվյալների, վահանագեղձի ախտահարման ծանրությունը պայմանավորված է և նրանում ամիլոիդի կուտակումով, և ադենոհիպոֆիզի կողմից թիրեոտրոպ հորմոնի չկարգավորված արտադրությամբ, որ հյուծում է վահանագեղձի ադապտացիոն հնարավորությունները [2]:
Աուտոպսիոն նյութում 45 դեպքում (86,5%) հայտնաբերվել է էնդոկրին գեղձերի` մասնավորապես մակերիկամների բավականին արտահայտված ամիլոիդոզ: Սակայն միայն 5 դեպքում է, որ այն արտահայտվել է կլինիկորեն էնդոկրին գեղձային անբավարարության ձևով: Ուսումնասիրված մյուս դեպքերում էնդոկրին գեղձերի կողմից կլինիկորեն դրսևորվող ֆունկցիոնալ բնույթի նշանակալի խանգարումներ չեն հայտնաբերվել: Փաստորեն, կլինիկորեն էնդոկրին անբավարարությունն այս դեպքերում ունեցել է նվազ ախտանիշային բնույթ, կամ ընդհանրապես չի դրսևորվել:
Ուսումնասիրված աուտոպսիոն նյութում ուշագրավ են փոփոխությունները հարերիկամային ճարպաբջջանքում, հետորորովայնամզային բջջանքում, ճարպոնում, ենթամաշկային ճարպաբջջանքում: Հատկապես որովայնային ենթամաշկային ճարպաբջջանքի ուսումնասիրությունը ամիլոիդոզի ախտորոշման տեսանկյունից կիրառվում է որոշ հեղինակների կողմից [10]: Այն համարվում է արագ, բարդություններից զերծ, հեշտ իրագործելի մեթոդ ամիլոիդոզի ախտո-րոշման համար:
Մեր ուսումնասիրությունները պարզեցին, որ աուտոպսիոն նյութում ամիլոիդն առավելաչափ արտահայտված է եղել հետորովայ-նամզային բջջանքում և հարերիկամային ճարպաբջջանքում, իսկ նույն դեպքերում շատ նվազ քանակությամբ` ենթամաշկային ճարպաբջջանքում: Մանրադիտակային հետազոտությամբ ուսումնասիրված ճարպաբջջանքում հայտնաբերվել են ամիլոիդային դեպոզիտներ զարկերակների, երակների պատերում, առավելապես` ադվենտիցիայում և նրա շուրջ (նկ. 6): Երբեմն ամիլոիդը հայտնաբերվել է ճարպաբջջանքի հենքում` բլթակների արանքում, որոշ տեսադաշտերում բնորոշվելով առատ ամիլոիդային դաշտերի առաջացումով: Մյուս օրգանների (երիկամ, էնդոկրին գեղձեր, փայծաղ, աղիներ) ամիլոիդային ախտահարումները ևս այս դեպքերում ակնհայտ են եղել:
Հետևաբար, կարելի է ենթադրել, որ որովայնային ենթամաշկային ճարպաբջջանքի ասպիրացիոն բիոպսիոն եղանակը ՊՀ պայմանավորված ամիլոիդոզի վաղ ախտորոշման համար այնքան էլ նպատակահարմար չէ: Քանի որ այն ոչ հաճախ և խիստ թույլ է արտահայտված, և այն էլ ամիլոիդոզի ուշ շրջաններում: Մինչդեռ հարերիկամային ճարպաբջջանքում ամիլոիդը համեմատաբար լավ է արտահայտված: Հետևաբար, հաշվի առնելով այս հանգամանքը, ախ-տորոշիչ նպատակով որպես պունկցիոն բիոպսիոն նյութ կարելի է օգտագործել հարերիկամային ճարպաբջջանքը` որպես ավելի քիչ տրավմատիկ, քան երիկամի հյուսվածքի պունկցիոն բիոպսիան, սակայն առավել ինֆորմատիվ մեթոդ, քան ենթամաշկային ճարպա-բջջանքում ամիլոիդի հայտնաբերումը:
Ուսումնասիրված բոլոր ՊՀ բարդություններից մահացածների մոտ առկա է եղել երիկամների ախտահարում, որը տարբեր դեպքերում տարբեր բնույթ և արտահայտվածություն է ունեցել: Այն կլինիկորեն արտահայտվել է սպիտամիզությամբ, նեֆրոտիկ համախտանիշով և երիկամային անբավարարությամբ, որն էլ ուսումնասիրված դեպքերում ՊՀ հիվանդների մեծամասնության մահվան պատճառն է եղել:
Երիկամների ախտահարումը ՊՀ բարդություններից մահացածներից 6-ի մոտ (11,5%) կրել է ոչամիլոիդային բնույթ` արտահայտվելով ներմազանոթային կամ արտամազանոթային պրոդուկտիվ գլոմերուլոնեֆրիտի ձևով: Ներմազանոթային գլոմերուլոնեֆրիտը միկրոսկոպիորեն արտահայտվել է կծիկների խոշոր չափերով, նրանց գերբջջայնությամբ, մեզանգիոցիտների արտահայտված պրոլիֆերացիայով: Այն երբեմն ուղեկցվել է կծիկների մեզանգիումում ամիլոիդի լոբուլյար կուտակումներով:
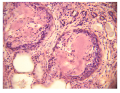
Արտամազանոթային պրոդուկտիվ գլոմերուլոնեֆրիտը, որն արտահայտվել է կիսալուսինների տեսքով նեֆրոթելի պրոլիֆերացիայով, 2 դեպքում զուգակցվել է երիկամային կծիկային հանգույցների ամիլոիդոզով (նկ. 7):
ՊՀ պայմանավորված սրտի ամիլոիդոզը կլինիկորեն դրսևորվել է սրտի ռիթմի և հաղորդականության խանգարումներով: Ձևաբանորեն 4 աուտոպսիոն դեպքում տանատոգենեզում գերակշռել է հարաճուն ձախ կամ աջփորոքային անբավարարությունը: Երկու դեպքում հայտնաբերվել է կարդիոմեգալիա, ամիլոիդը միկրոսկոպիորեն հայտնաբերվել է էնդոկարդում, միոկարդի հենքում, երբեմն` բավականին ընդարձակ տեղամասերի ձևով, և տարբեր տիպի և տրամաչափի անոթների պատերում, կամ պերիադվենտիցիալ հյուսվածքում: Այսպիսի անոթների պատը խիստ հաստացած է, երբեմն` լուսանցքը նեղացած կամ փակված: Հարակից կարդիոմիոցիտներում հայտնաբերվել է ատրոֆիա, դիստրոֆիա և նեկրոզ, ուղեկցված առանձին մկանախրձերի կոմպենսատոր հիպերտրոֆիայով: Սրտային ամիլոիդոզը բոլոր դեպքերում զուգակցվել է թոքային ամիլոիդային ախտա-հարումներով, որոնք կլինիկորեն հաճախ դրսևորվել են թոքաբորբի ձևով:
![]() |
![]() |
Նկ. 7. Արտամազանոթային պրոդուկտիվ գլոմերուլոնեֆրիտ` ուղեկցված կծիկային հանգույցների ամիլոիդոզով, հեմատոքսիլին-էոզին, x400
ՊՀ պայմանավորված թոքային ախտահարումների հյուսվածաբանական ուսումնասիրությունը ևս պարզեց, որ թոքերում հաճախ ձևաբանորեն դիտվել է թոքաբորբի պատկեր: Այն սովորաբար կրել է շճային, թարախային, ֆիբրինային կամ հեմոռագիկ բրոնխաթոքաբորբի բնույթ` ալվեոլների լուսանցքում առատ լեյկոցիտների, էրիթրոցիտների, ինչպես նաև սիդերոցիտների առկայությամբ: Բրոնխների և բրոնխիոլների պատերում արտահայտված են եղել լիմֆոլեյկոցիտային ներսփռանքները: Երբեմն արտահայտված են եղել թոքահյուսվածքի ֆիբրոզի տեղամասերը:
Դիահերձման ժամանակ հայտնաբերվել է թոքամզի հաստացում և կպումներ թոքամզի թերթիկների միջև: Ամիլոիդը մանրադիտակային հետազոտությամբ հայտնաբերվել է պլևրայում և ենթապլևրային թոքահյուսվածքում, միջալվեոլային խտրոցներում, անոթների պատերում, բրոնխիոլների և բրոնխների պատերում` ենթալորձային շերտում: Ամիլոիդային դեպոզիտներ առկա են եղել նաև շնչափողի լորձաթաղանթի սեփական թիթեղիկի, ենթալորձային գեղձերի հիմային թաղանթների տակ` ուղեկցվելով վերջիններիս ապաճմամբ: Առանձին տեղամասերում արտահայտված է եղել ծածկող էպիթելի դեսկվամացիան: Հայտնաբերվել են կրային աղերի կու-տակումներ թոքահյուսվածքում` երբեմն բավականին ընդարձակ զանգվածների տեսքով:
Այսպիսով` կլինիկական և աուտոպսիոն նյութի համատեղ վերլուծությունից պարզվել է, որ առկա է կլինիկաձևաբանական տարամիտման պատկեր` կլինիկորեն դրսևորված և գերակշռող որոշ ախտահարումներից բացի դիահերձման ժամանակ բացահայտվել են տանատոգենեզում դոմինանտ ախտահարումներ, որոնք կլինիկորեն չեն դրսևորվել, կամ քիչ են դրսևորվել:
Կլինիկական նյութի վերլուծությունից պարզվել է, որ ուսումնասիրված նյութում առկա չէ փոխկապակցվածություն ՊՀ պայմանավորված ամիլոիդոզի զարգացման աստիճանի և հիվանդության կլինիկական ձևի (որովայնային, կրծքային, խառը) միջև: Սակայն առկա է եղել կապ ամիլոիդոզի արտահայտվածության և հիվանդության վաղ մանիֆեստացիայի, սուր գրոհների տարեկան հաճախականու-թյան միջև, որը համահունչ է գրականության որոշ տվյալների հետ [5]:
Ուսումնասիրված դեպքերի մեծամասնությունում կլինիկորեն գերակշռել է նեֆրոպաթիկ ամիլոիդոզը, և երիկամների ախտահարումներ հայտնաբերվել են 96,3% աուտոպսիոն դեպքերում: Երի-կամների պունկցիոն բիոպսիան թեպետ արդյունավետ է, սակայն ոչ բոլոր դեպքերում է դրական արդյունք տվել, որը պայմանավորված է եղել երիկամների ամիլոիդային ախտահարման նվազ կամ մոզաիկ արտահայտվածությամբ և, հավանաբար, ոչամիլոիդային ախտահարումներով:
Աուտոպսիոն նյութում ձևաբանորեն գերակշռել են ոչ միայն նեֆրոպաթիկ, այլև էնդոկրին, ավշային հյուսվածքի, իսկ երբեմն էլ` կարդիոպաթիկ ամիլոիդային ախտահարումները: Այս դեպքերի կլինիկական տվյալների ռետրոսպեկտիվ վերլուծությամբ պարզվեց, որ երիկամային ախտահարումներին զուգահեռ դրանք ընդամենը 2 դեպքում են արտահայտվել գերակշռող կարդիոպաթիկ (3,8%) և 5 դեպքում` էնդոկրինոպաթիկ ախտահարումներով (9,6%) դրսևորված նշված օրգանների ֆունկցիոնալ անբավարարությամբ: Մյուս դեպ-քերում դրանք ունեցել են կլինիկորեն գաղտնի բնույթ, և բացահայտվել միայն աուտոպսիոն նյութի ուսումնասիրության ժամանակ:
Աուտոպսիոն նյութում գերակշռող մակերիկամային ախտա-հարումը, որը կլինիկորեն դրսևորվել է մակերիկամային անբավարարությամբ, 2 դեպքում այս հիվանդների մահվան պատճառն է եղել: Մինչդեռ դիահերձման ժամանակ մակերիկամներում հայտնաբերվել է լավ արտահայտված ամիլոիդոզ՝ դեպքերի ճնշող մեծամասնությունում: Փաստորեն, էնդոկրին ամիլոիդոզը, հաճախ կլինիկորեն ունենալով լատենտ ընթացք, ձևաբանորեն արտահայտվել է ամիլոիդի զանգվածային կուտակումներով էնդոկրին գեղձերում: Մինչդեռ ուսումնասիրված կլինիկական նյութում էնդոկրինոլոգիական դրսևո-րումներ հանդիպել են ընդամենը 21% դեպքերում, և միայն 2 դեպքում (1%) ուղեկցված ֆունկցիոնալ անբավարարությամբ, ինչը նշանա-կալիորեն զիջում է սեկցիոն նյութում էնդոկրին ախտահարումների հանդիպման հաճախականությանը:
Հետաքրքիր է նաև այն, որ աուտոպսիոն նյութում էնդոկրին ամիլոիդոզի առավելաչափ արտահայտված դեպքերում երիկամային ամիլոիդոզը բավականաչափ արտահայտված չի եղել, և երբեմն դրսևորվել ոչամիլոիդային ախտահարումներով: Միայն առանձին կծիկներում հայտնաբերվել են ամիլոիդային նուրբ դեպոզիտներ կամ փոքր հանգուցավոր կուտակումներ: Երիկամների ոչամիլոիդային ախտահարումները և ամիլոիդոզով ուղեկցված գլոմերուլիտը` զուգակցված էնդոկրին ամիլոիդոզով և էնդոկրին գեղձերի ֆունկցիոնալ անբավարարությամբ, հանգեցրել է երիկամային արագ զարգացող անբավարարության և մահվան:
Երիկամների ոչամիլոիդային ախտահարումները պունկցիոն բիոպսիոն նյութում ոչ միշտ են հայտնաբերվել, և հյուսվածաբանական ախտորոշման ժամանակ գնահատվել են որպես ամիլոիդոզի բացակայություն երիկամներում: Իսկ ՊՀ պայմանավորված սրտի ամիլոիդային ախտահարումը ուսումնասիրված դեպքերում կլինիկորեն գաղտնի բնույթ է կրել, մինչդեռ ձևաբանորեն հայտնաբերվել են էական փոփոխություններ:
Սրտի ախտահարման հիմքում նրա տարբեր տրամաչափի անոթների ամիլոիդոզն է եղել` ուղեկցված մկանաբջիջների ատրոֆիկ, դիստրոֆիկ, նեկրոտիկ փոփոխություններով: Կարդիոպաթիկ ամիլոիդոզի հյուսվածաբանական ախտորոշման համար առաջարկված է էնդոմիոկարդային բիոպսիոն եղանակը [7], այն տեխնիկապես համեմատաբար բարդ է և ներկայումս լայն կիրառություն չի գտել: Սրտային ամիլոիդոզը բոլոր դեպքերում զուգակցվել է թոքային ախտահարումներով: Վերջինս մեր կողմից ուսումնասիրված դեպքերում հանդիպել է կարդիոպաթիկ ամիլոիդոզի հետ զուգակցված:
Շնչական համակարգի ամիլոիդային ախտահարումների հյուսվածաբանական հայտնաբերման համար կարելի է հաջողությամբ կիրառել շնչափողի և բրոնխների լորձաթաղանթի էնդոսկոպիկ բիոպսիոն եղանակը: Այն տեխնիկապես բարդ չէ, ինֆորմատիվ է, միևնույն ժամանակ կարող է հանդիսանալ կարդիոպաթիկ ամիլոիդոզի պրե-դիկտոր:
Վահանագեղձի ասեղնային ասպիրացիոն բիոպսիոն հետազոտությունը համեմատաբար ապահով և հեշտ իրագործելի միջամտություն է խպիպային ամիլոիդոզի ախտորոշման համար: Այստեղ անհրաժեշտություն կա ամիլոիդային խպիպը տարբերակելու թիրեոիդիտից, վահանագեղձի ուռուցքներից և ուռուցքանման գոյացություններից, որի համար կարևոր է կլինիկական հետազոտության տվյալ-ների մանրակրկիտ վերլուծությունը:
ՊՀ պայմանավորված լյարդի ամիլոիդային ախտահարումների հայտնաբերման համար կիրառվող պունկցիոն ասպիրացիոն բիոպսիոն եղանակը, որը ընդունված է մի շարք հեղինակների կողմից [8], առանձնապես ինֆորմատիվ չէ, քանզի լյարդում ամիլոիդն արտահայտվում է հիվանդության համեմատաբար ուշ շրջաններում: Փայծաղը թեև հաճախ և առավել վաղ է ախտահարվում, սակայն պունկցիոն բիոպսիան նպատակահարմար չէ` ելնելով բարդությունների առաջացման վտանգից:
Ուսումնասիրված դեպքերից միայն երկուսում համակարգային ամիլոիդային ախտահարումներ չեն հայտնաբերվել, որտեղ մահվան պատճառ են դարձել մի դեպքում` սուր միելոբլաստային լեյկոզով պայմանավորված խոցանեկրոտիկ բարդությունները և միացած սեպսիսը, մյուսում` թոք-սրտային անբավարարությունը:
Այսպիսով` ՊՀ կլինիկական և ձևաբանական պատկերը հաճախ տարաբնույթ է, և ձևաբանորեն գերակշռող որոշ ախտահարումներ կլինիկորեն կարող են չդրսևորվել, կամ պարզապես չհանգեցնել օրգանային անբավարարության: Մինչդեռ ՊՀ պայմանավորված նեֆրոպաթիկ ամիլոիդոզը հաճախ է գերակշռում և ձևաբանորեն և կլի-նիկորեն, իսկ օրգանային որոշ ախտահարումներ, որոնք ձևավորվում են երիկամայինին զուգահեռ, կարող են հանգեցնել օրգանային անբավարարության և մահվան պատճառ դառնալ մինչև խրոնիկ երիկամային անբավարարությունն ու ուրեմիան:
Ներկայումս ՊՀ պայմանավորված երկրորդային ամիլոիդոզի արդյունավետ, քիչ վնասող կամ ոչ ինվազիվ ախտորոշիչ մեթոդի մշակումը արդի խնդիր է մնում և պահանջում հետագա հետազոտություններ:
Գրականություն
- Եգանյան Գ.Ա. Պարբերական հիվանդության նոպաների ախտածագման և ամիլոիդոզի զարգացման նոր վարկած, Արյուն, Երևան, 2005, 1 (1), էջ 80-85.
- Նազարեթյան Է.Ե., Հակոբյան Գ.Ս. Պարբերական հիվանդություն: Երևան, 1993:
- Аствацатрян В.А., Торосян Е.Х., Оганян Н.А. Исследование популяционной частоты периодической болезни в условиях Еревана. В сб.: Материалы научно- практической конференции педиатров (14-15 окт. 1993г.). Ереван, 1994, с.52.
- Айвазян Ал.А., Саргсян С.Г., Саркисян А.Г., Джавадян А.Ю. Частота амилоидоза почек у больных периодической болезнью в зависимости от частоты приступов в детском возрасте. Материалы научно-практической конференции педиатров. Ереван, 1999,с. 11.
- Ben-Chetrit E. Familial Mediterranian fever and renal amyloidosis-phenotype-genotype correlation, treatment and prognosis. J. Nephrol., 2003, 16(3):431-434.
- Cattan D., Dervichian M., Dode C. et al. MEFV mutations and phenotype-genotype correlations in north African Jews and Armenians suffering from FMF. FMF II International conference, 3-7 May 2000, Antalya-Turkey. Lectures and Abstracts, §79.
- Fealey Me., Edwards W.D., Grogan M., Dispenzieri A. Primary cardiac amyloidosis. Cardiovasc. Pathol., 2006; 15(6); p. 331-335.
- Gangane.N, Anhu, Shivkumar V.B. , Sharta S. Aspiration biopsy as a diagnostic method for hepatic amyloidosis. Acta Cytol., 2006; 50(5), p.574-576.
- Grateau G., Jeru I., Cazeneuve C., Rouagne S., Ravet N., Duquesnoy P., Cuisset L., Dode C., Delpech M., Amselem S. Amyloidosis and autoinflammatory syndromes. Current Drug Targets Inflammation and Allergy, 2005, 4, p.57-65.
- Halloush R.A., Lavrovskaya E., Mody D.R., Lager D., Troung L. Diagnosis and typing of systemic amyloidosis: The role of abdominal fat pad fine needle aspiration biopsy. Cyto Journal, 2009, 6:24.
- Pras M. FMF: Past, present and future. Clin. and Exper. Rheumatol., 2002, v.20, 4 (26), p.66.
31.01.2012 Կարդացեք նաև
Բանալի բառեր` նեյրոսպեցիֆիկ էնոլազա, հոգեշարժական զարգացում, նորածիններ
Երեխաների հոգեշարժական զարգացումը (ՀՇԶ) հոգեկան և մարմնական առողջության կարևորագույն ցուցանիշն է: Այսպես կոչված կոգնիտիվ նևրոլոգիայի վերջին տարիների արագընթաց զարգացումը պարզ...
30.01.2012 Բանալի բառեր. գլխուղեղի ֆունկցիոնալ վիճակ, ուշադրության կենտրոնացում, պարզ տեսաշարժիչ ռեակցիաներ, կարճատև տիրույթի կենսառիթմեր, սպեկտրային բաղադրիչներ, կոռելյացիոն, ռեգրեսիոն, դիսկրիմինանտ վերլուծություն
Արդի հոգեֆիզիոլոգիական հետազոտությունների կարևորագույն հարցերից մեկը մարդու գլխուղեղի ֆունկցիոնալ վիճակի (ՖՎ) ուսաւմնասիրությունն է: Գլխուղեղի ՖՎ, ըստ էության...
27.01.2012 Բանալի բառեր` տարբերակված ուսուցում, կարդիոինտերվալոգիր, քննաշրջան, սրտի ռիթմի տատանողականություն, լարվածության ցուցիչ
Գրականության մեջ անբավարար է լուսաբանված մասնագիտական դպրոցներում սովորող դեռահասների և պատանիների ֆիզիոլոգիական ֆունկցիաների վիճակը քննաշրջանի ընթացքում...
26.01.2012
ԱՄԵՆԱԸՆԹԵՐՑՎԱԾ ՀՈԴՎԱԾՆԵՐԸ
-
Ժողովրդական դեղամիջոցներ
-
Հղիություն. 4-րդ ամիս
-
Հղիություն. 7-րդ ամիս
-
Կոճապղպեղ նույնն է՝ իմբիր, Ginger եւ Zingiber Officinale
-
«Արագիլ» հիմնադրամը ստեղծված է՝ օգնելու անպտղությամբ տառապող զույգերին. Կարինե Թոխունց
-
Հղիություն. 6-րդ ամիս
-
Հղիություն. 2-րդ ամիս
-
Ամուսնական առաջին գիշերը
- 4-7 ամսական երեխաների սնուցումը
-
Ընկերության մասին
-
Խնձորը` պզուկների դեմ. ազատվիր նրանցից 1 գիշերվա ընթացքում
-
Ինչպես ազատվել անցանկալի մազերից
-
Պարզվում է ապագա երեխայի սեռը կախված է մայրիկի սնունդից
-
Դդում
-
Հիվանդություն, որը փոխում է մեր կյանքը` կրծագեղձի քաղցկեղ
-
Կոճապղպեղ՝ նիհարելու համար (կոճապղպեղի թեյ)
-
Սեռական գրգռում
-
Արգանդի միոմա. նախանշանները, պատճառներն ու բուժումը
-
Հղիություն. 1-ին ամիս
-
Երիցուկ դեղատնային - Ромашка аптечная - Matricaria chamomilla L.
-
Չիչխանի օգտակար հատկությունները
-
Քարավուզ (նույն ինքը՝ նեխուր)
-
Ինչպես ազատվել բերանի վատ հոտից`պարզ միջոց
-
Դիմակներ` մազերի համար
-
Կրծքի ցավե՞ր ունեք. ինչ անել
-
Հեշտոցային արտադրության պատճառները. մասնագետի անդրադարձը
-
Ընդհանուր տեղեկություններ մարմնի համակարգերի մասին
- Բերանի խոռոչի լորձաթաղանթի ախտահարումը սովորական բշտախտի ժամանակ (սկիզբը` նախորդ համարում)
-
Հիվանդություն, որի համար պետք չէ ամաչել (թութք)
-
Ընտրություն ըստ հորոսկոպի
- Խոսենք այդ մասին. ձեռնաշարժություն
-
Հղիությունը և նախապատրաստվելը դրան
-
Երբ գլխացավն ախտանիշ է: Հանճարեղ և օժտված մարդկանց հիվանդություն
-
Լեղաքարային հիվանդություն. բուժման մեթոդները
-
Սեռական թուլության առաջին նախանշանները. news.am
-
Ուլտրաձայնային դոպլերոգրաֆիա (երկակի (դուպլեքս) անոթների)
-
Էկզեմայի տեսակները և բուժումը
-
Իրիդիոսքրինինգ
-
ՈւՆԱԲԻ: Արևելյան բժշկության գաղտնիքները
-
Գամմա-դանակը նշտարի փոխարեն















Գիտական բժշկություն
Հիվանդություններ
Ավանդական բժշկություն
Առողջ ապրելակերպ
Կոսմետոլոգիա
Բժշկական իրավունք
Ալգորիթմեր, թեստեր
Թվեր, փաստեր, դեպքեր
Պատմական խրոնիկա
Աֆորիզմներ
Կարիերային սանդուղքով
Երեխա
Կին
Տղամարդ
Ռեյթինգային համակարգ







